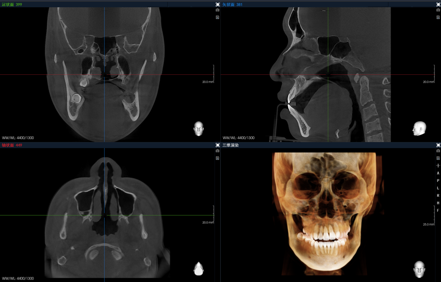
1、CBCT模式
16cmX18cm超大视野成像,准能谱伪影校正技术,精准去伪影,影像更清晰。
2、全景模式
多种成像模式,支持局部分段成像,所拍即所得,减小不必要的辐射剂量。
3、头颅模式
多种成像模式,标配AI自动描点正畸软件,VTO功能加持让医患沟通更简单。
4、模型扫描
支持模型扫描,融合CBCT数据,助力数字化导板全流程,为诊疗提供新路径。
 
        
         
        1、CBCT模式
16cmX18cm超大视野成像,准能谱伪影校正技术,精准去伪影,影像更清晰。
2、全景模式
多种成像模式,支持局部分段成像,所拍即所得,减小不必要的辐射剂量。
3、头颅模式
多种成像模式,标配AI自动描点正畸软件,VTO功能加持让医患沟通更简单。
4、模型扫描
支持模型扫描,融合CBCT数据,助力数字化导板全流程,为诊疗提供新路径。
x
